8.多角的アプローチで
口腔機能と審美性を改善した症例
インビザラインでの矯正治療
Before

After

患者様情報
| 主訴 | 右下の歯が欠けてきて気になる。 歯並びのデコボコが気になる。 口元の見た目をきれいにしたい。 |
|---|
当院からのご提案・治療計画
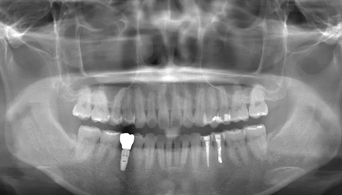
精密検査の結果、右下5番は大きく崩壊しており保存困難歯と判断し、抜歯後のインプラント治療を提案しました。
さらに、上下顎に軽度〜中等度の叢生があり、インビザライン(マウスピース矯正)による歯列改善を併行治療として提案しました。
また、矯正期間中はマウスピースを使用しているため、ホームホワイトニングを併用できるメリットを説明し、審美性の向上を提案しました。
治療プラン
-
Plan 1
- 診査診断・治療計画
- 歯科用CTや口腔内スキャナ「iTero」を使用することで、お口の状況を正しく知ることができます。
そのデータをもとに、患者様に治療期間や費用、そして治療計画をご説明いたしました。

-
Plan 2
- 抜歯・インプラント埋入
- 保存が難しいと診断された歯を抜歯し、失われた歯の機能を回復するためにインプラントを埋入しました。

-
Plan 3
- 矯正治療開始
- 精密検査や3Dシミュレーションなどの事前の診査診断を踏まえ、マウスピースを製作しインビザライン矯正をスタートしました。

-
Plan 4
- 治療終了
- 患者様の頑張りもあり歯並びがキレイになりました。今後は保定装置を着用し、後戻りを防止しながら、キレイな状態を維持するため、定期的にメンテナンスを行っていきます。

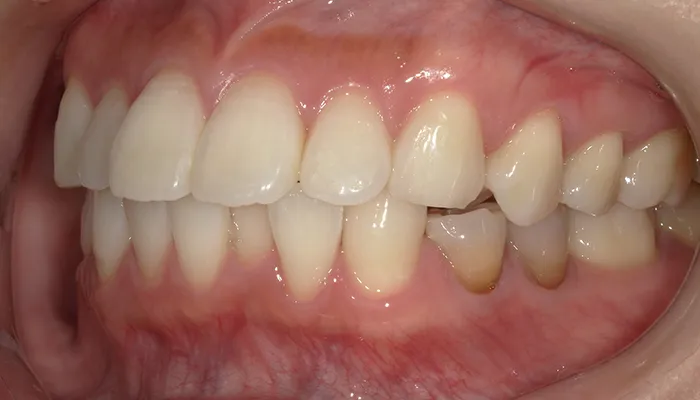
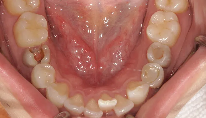
初診時の口腔内写真
術前の口腔内写真
右下5番は大きく崩壊しており、保存不可能な状態でした。
また、下顎前歯部を中心に叢生があり、歯列が不均一でした。咬合関係が不安定で、清掃性も低下していました。
全体的に歯の色もやや黄みを帯びており、患者様からも審美的な改善希望が強くありました。






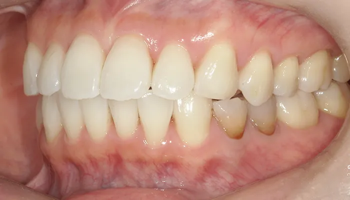
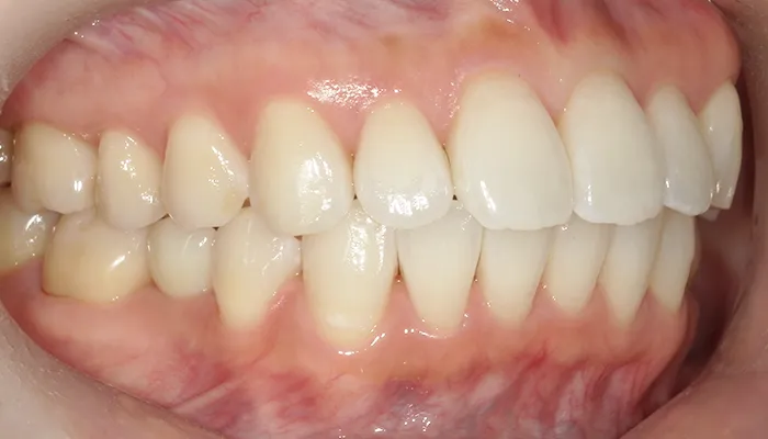
治療後の口腔内写真
術後の口腔内写真
右下5番のインプラントは良好に骨結合し、自然な形態と色調の補綴物を装着しました。
インビザライン矯正により歯列が整い、清掃性・咬合バランスともに改善しました。
ホワイトニングにより歯全体の色調が明るくなり、笑顔の印象が大きく改善しました。
患者様は審美性・機能性ともに大変満足していらっしゃいました。






治療前後の比較












治療情報
| 担当医師 | 新横浜院 Dr.丸山 |
|---|---|
| 治療期間 | 1年半 |
| 治療内容 | 右下5番については保存不可能と判断し、抜歯を行いました。抜歯後は治癒期間を設け、十分な治癒を確認したうえでインプラントを埋入しました。オッセオインテグレーション(インプラントと骨を結合させる期間)の後、最終補綴としてジルコニアクラウンによる上部構造を装着しました。 併せて、歯列全体の叢生改善および歯の位置関係・咬合関係の改善、清掃性の向上を目的としてインビザライン矯正を行いました。治療期間中は、アタッチメントの装着やIPRを行いながら、段階的にアライナーの交換を継続しました。 また、インビザラインのマウスピースを利用したホームホワイトニングを実施し、矯正治療と並行して歯の色調改善を図りました。 |
| 費用 | 【インプラント】 オペ代:33,000円(税込) CT代:22,000円(税込) 麻酔代:66,000円(税込) フィクスチャー(ノーベル/シンプル): 275,000円(税込) アバットメント:33,000円(税込) 仮歯:16,500円(税込) 上部構造(ジルコニア):198,000円(税込) 【インビザライン】 インビザラインフル:935,000円(税込) ビベラリテーナー:55,000円(税込) 【ホワイトニング】 薬液代:3,300円(税込)×2本 総額:1,640,100円(税込) |
| 治療に伴うリスク | 【インプラント】 術後腫脹・疼痛・感染 初期固定不良・脱落 長期的な骨吸収 【インビザライン】 歯の動揺、痛み アライナー装着による発音変化 歯根吸収の可能性 後戻り(リテーナーが必須) 【ホワイトニング】 一時的な知覚過敏 色戻りの可能性 |





