4.全体的に歯並びを整えたい
インビザラインでの矯正治療
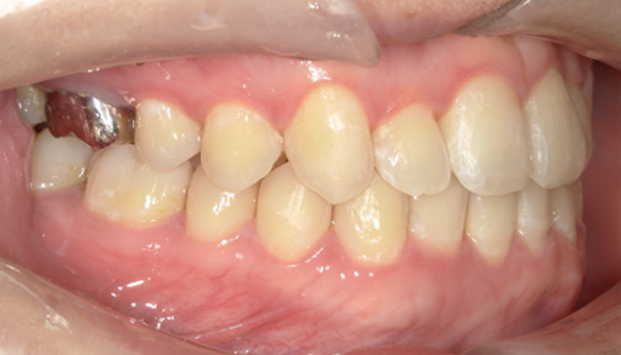
Before

After

患者様情報
| 初診日 | 2020年4月 |
|---|---|
| 年齢・性別 | 20代・女性 |
| 主訴 | 全体的に歯並びを整えたい。 |
治療プラン
-
Plan 1
- クリーニング・清掃指導
- 歯のクリーニングを行い、日常のブラッシングのやり方などを指導いたしました。

-
Plan 2
- 矯正治療開始
- 精密検査や3Dシミュレーションなどの事前の診査診断を踏まえ、マウスピースを製作しインビザライン矯正をスタートしました。

-
Plan 3
- 治療終了
- 全ての治療終了後は、キレイになった歯並びが後戻りしないようにリテーナーを装着し、定期的にメインテナンスを行います。

初診時の口腔内写真





治療後の口腔内写真





治療前後の比較










治療情報
| 担当医師 | 東戸塚院 Dr.永沼 |
|---|---|
| 治療期間 | 11ヶ月 |
| 費用 | 95万円(矯正代)+5万円(ビベラリテーナー)(税込) |





