ワイヤー矯正とは?
ワイヤー矯正とは、歯の表面に「ブラケット」と呼ばれる装置をつけ、それにワイヤーを通して歯を動かしていく一般的な矯正治療のことです。
ワイヤー矯正とは、歯の表面に「ブラケット」と呼ばれる装置をつけ、それにワイヤーを通して歯を動かしていく一般的な矯正治療のことです。
・スウェーデン矯正歯科専門医
・歯科矯正スーパーバイザー
(Orthodontics Supervisor)
私たちは、ただ歯並びをよくするだけではなく、それ以上の価値を患者様にご提供いたします。
「インビザラインでは難しい」「他院で断れられた」といった難症例でもご安心ください。
ワイヤー・外科矯正に精通した矯正治療の専門ドクターがサポートいたします。
早期に治療することで、後の顔貌や歯並びに良い影響を与えることが可能な場合もあります。
顔貌や歯並びは生活習慣や遺伝が大きな影響を与えます。
受け口や出っ歯など、ご家族で気になる方がいらっしゃいましたら、お子様の診察をお薦めします。
受け口の場合には、矯正治療を行うことで、顔貌や歯並びに良い影響を与えることがあります。
(9歳女児)
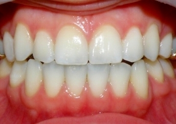
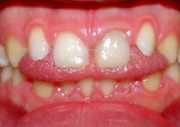
反対咬合(受け口)で、下顎が出っ張っていることを本人も気にしておりました。
しかしながら矯正治療により、正常な噛みあわせになり笑顔も自然になりました。
また、出っ歯の場合には、それに加えて、上の前歯の打撲や破折を予防することができます。
前歯が出ているので、ぶつけ易い。歯が折れてしまう事も・・・
永久歯の本数が生まれつき少ない場合(先天性欠損)、治療計画を早期に作ることで、後の治療がスムーズになります。(8歳女児)
約20人に1人の児童が先天欠損歯を持っています。
どのようにそれを補うか、科学的データに基づいた戦略が重要です。
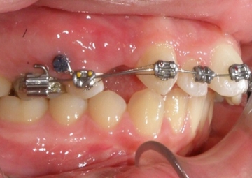
間違った方向に生えてきた歯が、正常に生えてくるように手助けをします。(7歳男児)
6歳臼歯が前の乳歯にひっかかって、うまく生えてこられない。
矯正治療後、歯がまっすぐ生えました。歯も抜かずにすみました。
この時期にできる矯正治療は下の2つになります。
残念ながら、顎の成長や永久歯のサイズを正確には予想できないので、受け口、出っ歯および叢生(歯のデコボコ)などの問題が新たに、もしくは再度生じる可能性があります。
その場合には、固定式の装置を用いた本格矯正が、後に必要になることがあります。
ちなみに、小さい時に直した叢生は、89%の患者様が元の状態に戻ってしまったという研究があります。
科学的データに乏しい矯正治療は、お薦め致しません。
小さなお子様は、たとえ親御さんや矯正医が分かり易く説明しても、治療の必要性を理解していないことがあります。
その結果、患者様本人の協力が得られないため、十分な時間装置を着けないので治療がいつまでも終わらない、歯を磨かないので虫歯ができる等の問題が生じます。
ですから、効率良くベストの治療結果を得るために、患者様自身が治療の必要性を理解できるまで、しばらく経過観察をする事があります。
口がいつも半開き(口呼吸)、舌がいつも出ている(舌突出)、指しゃぶり、下唇かみ、爪かみなどがあります。
気になる習慣がありましたら、どうぞお気軽にご相談ください。
口呼吸
舌突出
指しゃぶりによる歯並び
欧米では、良い歯並びを持つことは大切なステータスのひとつであり、特にビジネスシーンや高等教育の現場ではそれが明らかです。
社会のグローバル化に伴い、これからの若い方々は、海外に出る機会が今よりもっと増えると言われております。
永久歯が全部生えそろった時(12-15歳)が、本格的な矯正を始めるに適したタイミングです。
お子様の未来への可能性をはぐくむためにも矯正治療を始めてはいかがでしょうか?
治療前
治療後
治療は数か月で終わる予定であったが、5か月ほど来院しなかった。
不適切なゴムの使用により、受け口に・・・
リカバリーにかなりの時間がかかりました。
舌側矯正は、矯正医の技術が必要な難易度の高い治療です。
ヨーロッパで開発・発展した装置を使いますが、治療方法などを日本人に合うようにカスタマイズする必要があります。
そのノウハウが当クリニックにはありますので、どうぞご安心して治療をお受けください。
また、あまり知られていませんが、見た目以外にも、外側につける矯正装置にはない素晴らしいメリットが、舌側矯正にはあります。
詳しくは、当クリニック矯正医までお尋ねください。
こちらの写真は、「上:目立たないブラケット、下:金属のブラケット」になります。
エス歯科では舌側矯正の他に、セラミックでできた透明で『目立たない装置』も用意してあります。
快適に治療を受けられますように、ご希望をお伝えください。
お問い合わせはこちら
適切な診断と治療、チョットしたコツを用いて、できるだけ早くベストの結果を得る努力は、すべての症例で行っております。
矯正用アンカースクリューを用いた治療も行っております。
アンカースクリューの誕生は、矯正治療に起きた大きな革命の1つです。
さらに効率良く、何よりも患者様自身が楽な治療をお受け頂けます。
但し、必要に応じて用いますので、全ての患者様にお勧めできるわけではありません。


| 外側に金属の矯正装置 | 880,000円~ |
|---|---|
| 外側にセラミックの 矯正装置 | 935,000円~ |
| 上のみ内側に 見えない矯正装置 | 1,210,000円~ |
| 上下とも内側に 見えない矯正装置 | 1,430,000円~ |
※記載費用は全て税込です。
※難易度は、IOTNという世界的な基準を参考にして公平に決められております。
※治療期間は、治療の難易度や患者様の協力度(歯磨き、顎間ゴムの使用等)などにより変わります。
※処置料を3,300~5,500円(税込)/月頂戴いたします。
治療後は、保定装置(リテーナー)を装着し、まっすぐな歯を保ちますのでご安心ください。
固定式リテーナー
取り外し式リテーナー
最近、上の前歯が、以前よりも前に出てきた感じをお持ちではないでしょうか?
通常、歯は、加齢とともに前方に動いてきます。
歯周病を患った経験をお持ちの方は、そのペースがより速くなります。
【40代女性】
歯周病による病的な歯の移動により上下歯が出てきた。
歯が下唇に当たり、口を思うように閉じられないので、会話と食事が困難になった。他人の視線も気になるとの事。


このような切実な症例でも、矯正治療により前歯を引っ込めることは可能です。
但し、歯科医師と矯正医の緻密な連携が必要になりますが、当クリニックには、安心して治療を受けて頂ける体制が整っております。
【50代女性】
虫歯で失った奥歯の所にインプラントを入れることにしたが、下の前歯のデコボコが気になる
治療前
インプラント埋入後
治療後
インプラントを矯正治療に利用すると、矯正治療が難しい症例でも、正確にかつ迅速に歯を動かすことが可能です。インプラント治療をお考えの方は、矯正治療も是非合わせてお考えください。
矯正治療はいつからでも可能です。
しかしながら、虫歯や歯周病などを患っている方は、先にそちらの治療を行い、虫歯、歯周病治療が終わってからになります。
いろいろな歯並びの方が、受けられていますが、特に、上の前歯の出っ歯・下の歯のデコボコ(叢生)の改善を望まれる方が多いです。
これは、歯周病による病的歯牙移動(歯周病になると歯が前に出てきます)が関係していると思われます。
また、成長や加齢が進めに連れ、下唇が下に降りてくるため、話したり笑ったりすると、下の前歯のデコボコが目立つようになります。
気になる箇所の部分矯正にて、それを改善することも可能ですので、どうぞお気軽にご相談ください。
治療前
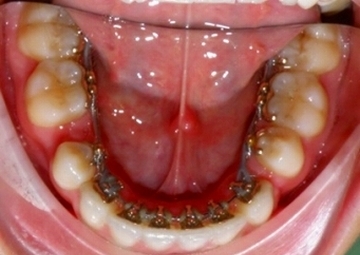
前歯だけにワイヤーを付けている様子
治療後
装置がない時と比べるとやりづらさはあります。
ですので必要に応じて、ブラッシング指導を行います。ご安心ください。
来院時に、普段お使いの歯ブラシや歯間ブラシをお持ち頂ければ、ブラッシング(歯磨き)の改善方法や仕方を直接お伝えいたしますので、どうぞご利用ください。
そんな方のために、金属を使用しない「目立たないブラケット」を用意しています。
こちらの写真は、「上:目立たないブラケット、下:金属のブラケット」になります。
セラミックでできた透明で目立たない装置や、歯の裏側に着用する見えない装置も対応可能です。
患者様が快適に治療を受けられるように、最善を尽くしますので、ご希望をお伝えください。
上下:見えないブラケットを着用した様子
| 部分矯正 | 110,000円~ |
|---|---|
| 外側に金属の矯正装置 | 880,000円~ |
| 外側にセラミックの 矯正装置 | 935,000円~ |
| 上のみ内側に 見えない矯正装置 | 1,210,000円~ |
| 上下とも内側に 見えない矯正装置 | 1,430,000円~ |
※記載費用は全て税込です。
※難易度は、IOTNという世界的な基準を参考にして公平に決められております。
※治療期間は、治療の難易度や患者様の協力度(歯磨き、顎間ゴムの使用等)などにより変わります。
※処置料を3,300~5,500円(税込)/月頂戴いたします。
患者様ひとり一人に
最適な治療プランと
痛みに配慮した丁寧な治療を
ご提供します
当日その場で、術前・術後のビフォーアフターを見られる設備を導入しています。
ワイヤー矯正との違いや期間、費用についても無料で相談を行っています。
ご希望の日程があれば、まずはお気軽にお問い合わせください。(要予約)
お電話もしくはメール相談の際、
ご希望の医院をお伝えください。
(上大岡・横浜・新横浜・
東戸塚・町田・横浜みなとみらいの
計6院ございます)
インビザライン専用フリーダイヤル
0120-4618-15(シロイハ イコ-)
〒220-0011
神奈川県横浜市西区高島1-2-5
横濱ゲートタワー1F
〒233-0002
神奈川県横浜市港南区上大岡西
1丁目14-6 Daiwa 上大岡ビル3F
〒220-0011
神奈川県横浜市西区高島2丁目18-1
そごう横浜9F/8F
〒222-0033
神奈川県横浜市港北区新横浜3-4
新横浜プリンスペペ3F
〒194-0013
東京都町田市原町田6-2-6
町田モディ6F
〒244-8530
神奈川県横浜市戸塚区信濃町537-1
西武東戸塚S.C. 西武館2F
受付時間
平日 9:30~19:30
土曜 10:00~17:00
日曜 10:00~18:00
フリーダイヤル受付時間
平日 9:30~19:30
土曜 10:00~17:00
日曜 10:00~18:00
【期間限定】精密検査今なら半額!
精密検査半額キャンペーン見た!とお伝え下さい。