3.非抜歯でも綺麗に並ぶケース
上の前歯のガタガタを
抜歯せずにキレイに改善
Before

After

患者様情報
| 初診日 | 2019年9月 |
|---|---|
| 性別 | 女性 |
| 主訴 | 上の前歯のガタガタが気になる・親知らずを抜歯したい |
当院からのご提案・治療計画
抜歯して口元を大幅に下げるプランもありましたが、非抜歯でも綺麗に並ぶケースだったので、患者様と相談の上、抜歯せずに行うことになりました。
治療プラン
-
Plan 1
- 診査・診断
- 精密機器を用いて正確に診断いたしました。

-
Plan 2
- 親知らずの抜歯
- 最終的な噛み合わせを考慮し、矯正治療を始める前に親知らずを抜歯しました。

-
Plan 2
- クリンチェック
- 3Dで取り込んだ歯型のデータや治療計画などに基づいて治療シミュレーション「クリンチェック」を行いました。

-
Plan 3
- インビザライン
- 精密検査や3Dシミュレーションなどの事前の診査診断を踏まえ、マウスピースを製作しインビザライン矯正をスタートしました。

-
Plan 5
- メインテナンス
- 虫歯の再発はもちろん、キレイになった歯並びをずっと長く継続するために定期的にメインテナンスを行います。

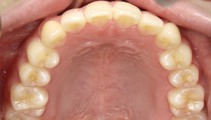
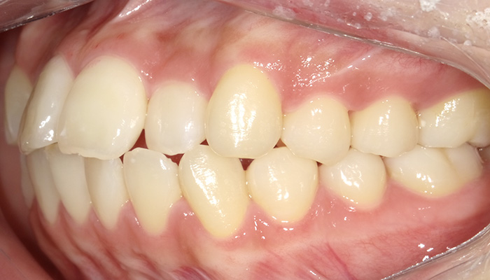
初診時の口腔内写真





治療後の口腔内写真





治療前後の比較










治療情報
| 担当医師 | 横浜院 Dr.粟野 |
|---|---|
| 治療期間 | 12ヶ月 |
| 費用 | 90万円(税込) |
今回の治療コンセプトや
インビザの有用性について
抜歯せずに綺麗な歯並びになりました。(親知らずは抜歯しています)。
抜歯した場合は治療期間も倍以上かかりますし、治療期間も短縮できました。
抜歯をしなくても行えるもケースがございますので、是非一度ご相談下さい。





