5.短期間で目立たず、
費用も抑えられるケース
咬合も考慮した歯並び改善
Before

After

患者様情報
| 初診日 | 2019年5月 |
|---|---|
| 性別 | 男性 |
| 主訴 | 左下の奥歯が何もしなくても違和感がある 下の前歯の歯並びが気になる |
当院からのご提案・治療計画
歯並びが悪いところがあり、症状のあった歯に噛む力がかかりすぎていたので、全体的に歯並びを整え、噛む力を均等に分散できるように矯正治療をおすすめしました。短期間で目立たず、費用も抑えられるインビザラインを提案。
治療プラン
-
Plan 1
- 精密検査・咬合審査
- 現在のお口の中の状態を噛み合わせも含めて精査しました。

-
Plan 2
- 咬合調整
- 痛みのある歯の噛み合わせを調整しました。

-
Plan 3
- クリンチェック
- 3Dで取り込んだ歯型のデータや治療計画などに基づいて治療シミュレーション「クリンチェック」を行いました。

-
Plan 4
- インビザライン
- 精密検査や3Dシミュレーションなどの事前の診査診断を踏まえ、マウスピースを製作しインビザライン矯正をスタートしました。

-
Plan 5
- メインテナンス
- 虫歯の再発はもちろん、キレイになった歯並びをずっと長く継続するために定期的にメインテナンスを行います。

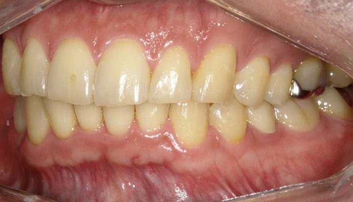
初診時の口腔内写真





治療後の口腔内写真





治療前後の比較










治療情報
| 担当医師 | 横浜院 Dr.粟野 |
|---|---|
| 治療期間 | 4ヶ月 |
| 費用 | 60.5万円(税込) |
今回の治療コンセプトや
インビザの有用性について
今回は,噛む力を均等に分散できるように矯正
治療を行いました。
短期間で目立たず、費用も抑えられるインビザラインなので、是非一度ご相談下さい。





