6.出っ歯が気になる(1本だけ出ているケース)
インビザラインでの矯正治療
Before

After

患者様情報
| 主訴 | 前歯が一本だけ前に出ていて見た目が気になる |
|---|
当院からのご提案・治療計画
歯列のアーチをキレイに整え、
①「見た目(審美性)」
②「清掃性」
③「機能性(しっかりと咬める状態にする)」
以上の三つの要件を満たす治療計画をご提案しました。
治療に伴うリスク
矯正終了後、後戻りが起きないようにする目的でリテーナーを装着する必要があります。
治療プラン
-
Plan 1
- 診査診断・治療計画
- 歯科用CTや口腔内スキャナ「iTero」を使用することで、お口の状況を正しく知ることができます。
そのデータをもとに、患者様に治療期間や費用、そして治療計画をご説明いたしました。

-
Plan 2
- 矯正治療開始
- 精密検査や3Dシミュレーションなどの事前の診査診断を踏まえ、マウスピースを製作しインビザライン矯正をスタートしました。

-
Plan 3
- 治療終了
- 患者様の頑張りもあり歯並びがキレイになりました。今後は保定装置を着用し、後戻りを防止しながら、キレイな状態を維持するため、定期的にメンテナンスを行っていきます。

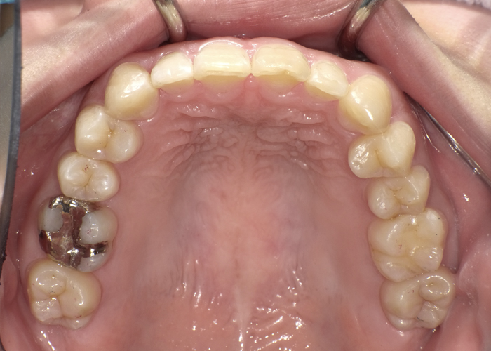
初診時の口腔内写真





術前の口腔内写真
上の前歯(左上1)は外側に、下の前歯(左下1)は内側にあります。
歯ブラシが難しいため、着色や虫歯・歯周病のリスクが高い状態です。
治療後の口腔内写真





術後の口腔内写真
前歯については、ずっとコンプレックスだったようです。
悩みが解決して、「もっと早く治療すれば良かった」とおっしゃられていました。
歯並びについてお悩みがあれば、いつでもご相談ください。
治療前後の比較










治療情報
| 担当医師 | 上大岡院 Dr.池 |
|---|---|
| 治療期間 | 6ヶ月 |
| 費用 | 600,000円(税込) |
今回の治療コンセプトや
インビザの有用性について
矯正治療に限ったことではないですが、特にインビザラインは事前の診査診断・治療計画がとても重要で、どの医療機関で受けても同じ結果になるわけではないのが実情です。
エス歯科グループでは、治療途中の段階では計画通りに移動が達成できているか、豊富な治療実績をもとに綿密にチェックしながら進めていきます。
歯並びについてお悩みの方は、お気軽に是非一度ご相談ください。





