4.成人式までに
歯並びをきれいにしたい
出っ歯をマウスピース矯正で
きれいに治す
Before

After

患者様情報
| 性別 | 女性 |
|---|---|
| 年齢 | 10代 |
| 主訴 | 成人式までに歯並びをきれいにしたい |
当院からのご提案
マウスピース矯正で上の前歯を内側に入れて、下の前歯の重なりも綺麗に並べることできれいな口元になるよう治療計画を提案致しました。
治療プラン
-
Plan 1
- 診査・診断
- CTなどの精密機器を用いて正確に診断いたしました。

-
Plan 2
- クリンチェック
- 3Dで取り込んだ歯型のデータや治療計画などに基づいて治療シミュレーション「クリンチェック」を行いました。

-
Plan 3
- インビザライン
- 精密検査や3Dシミュレーションなどの事前の診査診断を踏まえ、マウスピースを製作しインビザライン矯正をスタートしました。

-
Plan 4
- メインテナンス
- 後戻り防止のため、リテーナーを装着します。
また定期的にメインテナンスに行い、キレイになった歯をより長く継続させます。

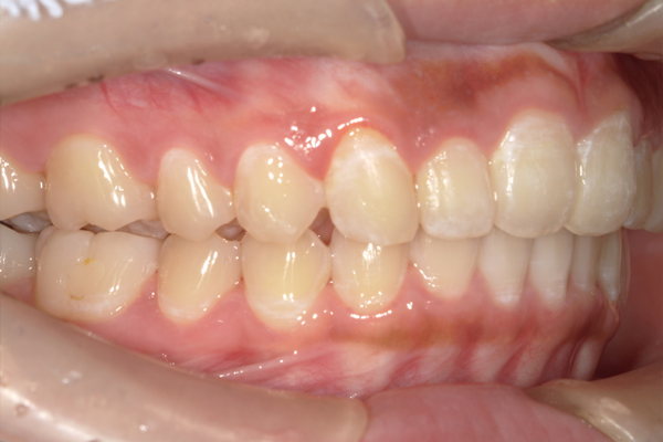
治療後の口腔内写真





治療後のコメント
上の前歯を下げることで、口元のおさまりが良くなり、横顔の印象も変わりました。
下の前歯も綺麗に並び、治療期間も予定通りで終わり、成人式を綺麗な歯並びで迎えられ大変喜んでいただきました。
治療前後の比較










治療情報
| 担当医師 | 東戸塚院 Dr.北崎 |
|---|---|
| 治療期間 | 10ヶ月 |
| 費用 | 90万円(税込) |
| 治療に伴うリスク | 歯の移動の際、違和感や軽度の痛みを生じる可能性があります。 |
今回の治療コンセプトや
インビザの有用性について
前歯の歯並びを治すことで、歯周病や虫歯のリスクコントロールができると同時に食いしばりによる奥歯のすり減りも防止できます。
インビザラインで噛み合わせを改善することで、食べ物の噛みやすさが大幅に変わりますので、食事を美味しく頂くことが出来ます。





