5.本来の噛み合わせが分からず
食事がしにくい
セラミックでの咬合治療と
マウスピース矯正を併用したケース
Before

After

患者様情報
| 性別 | 女性 |
|---|---|
| 年齢 | 50代 |
| 主訴 | 本来の噛み合わせがよく分からず 食事がしにくい |
当院からのご提案
まずは、奥歯の噛み合わせを調整し、左右のバランスを整えました。
その後、マウスピース矯正で、深い噛み合わせや前歯のずれをきれいに並べることで、お口全体の噛み合わせのバランスを取れるようにすることを提案致しました。
また、矯正治療後、擦り減って適合があまくなっていた詰め物を交換して、さらに理想的な奥歯の噛み合わせにしていくことを提案致しました。
治療プラン
-
Plan 1
- 診査・診断
- CTなどの精密機器を用いて正確に診断いたしました。

-
Plan 2
- クリンチェック
- 3Dで取り込んだ歯型のデータや治療計画などに基づいて治療シミュレーション「クリンチェック」を行いました。

-
Plan 3
- インビザライン
- 精密検査や3Dシミュレーションなどの事前の診査診断を踏まえ、マウスピースを製作しインビザライン矯正をスタートしました。

-
Plan 4
- メインテナンス
- 後戻り防止のため、リテーナーを装着します。
また定期的にメインテナンスに行い、キレイになった歯をより長く継続させます。

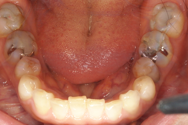
初診時の口腔内写真





治療前のコメント
奥歯にプラスチックを盛り足しての噛み合わせ治療が施されており、お口全体で噛める状態ではありませんでした。
噛み合わせが深く、前歯が噛めておらず、奥歯の負担が強い状況でした。
治療後の口腔内写真





治療後のコメント
噛み合わせのバランスが整い、奥歯の詰め物もセラミックで理想の高さと噛み合わせになりました。
お食事の際、前歯で噛み切り、奥歯ですりつぶすということがしっかりできるようになり、大変喜んでいらっしゃいました。
治療前後の比較










治療情報
| 担当医師 | 東戸塚院 Dr.北崎 |
|---|---|
| 治療期間 | 18ヶ月 |
| 費用 | 150万円(税込) |
| 治療に伴うリスク | 歯の移動の際、違和感や軽度の痛みを生じる可能性があります。 |
今回の治療コンセプトや
インビザの有用性について
前歯の歯並びを治すことで、歯周病や虫歯のリスクコントロールができると同時に食いしばりによる奥歯のすり減りも防止できます。
インビザラインで噛み合わせを改善することで、食べ物の噛みやすさが大幅に変わりますので、食事を美味しく頂くことが出来ます。





