5.前歯の反対咬合
インビザラインでの矯正治療
Before

After

患者様情報
| 主訴 | 前歯の反対咬合が気になり、ご来院されました。 |
|---|
当院からのご提案・治療計画
インビザラインによる矯正治療を提案いたしました。
治療プラン
-
Plan 1
- 診査診断・治療計画
- 歯科用CTや口腔内スキャナ「iTero」を使用することで、お口の状況を正しく知ることができます。
そのデータをもとに、患者様に治療期間や費用、そして治療計画をご説明いたしました。

-
Plan 2
- 矯正治療開始
- 精密検査や3Dシミュレーションなどの事前の診査診断を踏まえ、マウスピースを製作しインビザライン矯正をスタートしました。

-
Plan 3
- 治療終了
- 患者様の頑張りもあり歯並びがキレイになりました。今後は保定装置を着用し、後戻りを防止しながら、キレイな状態を維持するため、定期的にメンテナンスを行っていきます。

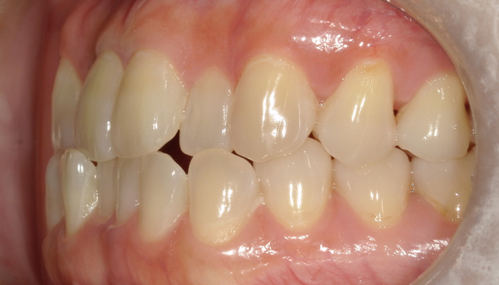
初診時の口腔内写真
術前の口腔内写真
左右2番目の前歯が反対咬合で十分に噛めていない状態です。





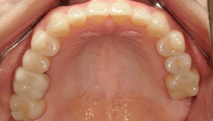
治療後の口腔内写真
術後の口腔内写真
計画通り無事に終わりました。反対咬合も改善され大変満足してくださいました。
マウスピースは再スキャンも含めて32枚で終了しています。





治療前後の比較










治療情報
| 担当医師 | 新横浜院 Dr.丸山 |
|---|---|
| 治療期間 | 12ヶ月 |
| 費用 | 900,000円(税込) |
| 治療に伴うリスク | 後戻り、矯正中の軽度の違和感 |





