4.前歯のセラミック治療及びインビザライン
インビザラインでの矯正治療
Before

After

患者様情報
| 主訴 | 転倒して前歯が折れたとのことで来院されました。 |
|---|
当院からのご提案・治療計画
前歯の被せ物、噛み合せの安定を図るためにインビザラインを提案いたしました。
治療プラン
-
Plan 1
- 診査診断・治療計画
- 歯科用CTや口腔内スキャナ「iTero」を使用することで、お口の状況を正しく知ることができます。
そのデータをもとに、患者様に治療期間や費用、そして治療計画をご説明いたしました。

-
Plan 2
- 矯正治療開始
- 精密検査や3Dシミュレーションなどの事前の診査診断を踏まえ、マウスピースを製作しインビザライン矯正をスタートしました。

-
Plan 3
- 治療終了
- 患者様の頑張りもあり歯並びがキレイになりました。今後は保定装置を着用し、後戻りを防止しながら、キレイな状態を維持するため、定期的にメンテナンスを行っていきます。

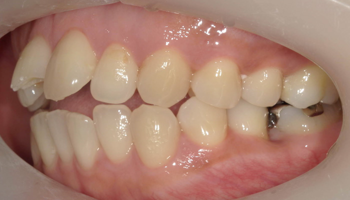
初診時の口腔内写真
術前の口腔内写真
前歯が噛んでいなく奥歯に負担がかかっており、ご本人も全体的に口元が前に出ているのを気にされていました。また転んで右上の前歯が欠けてしまっている状態です。





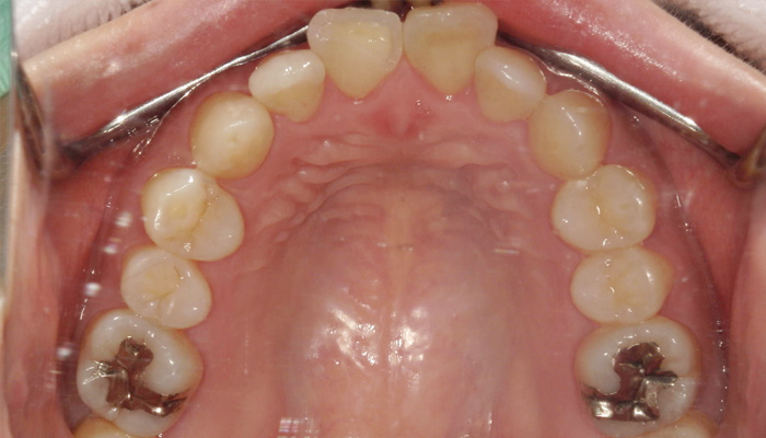
治療後の口腔内写真
術後の口腔内写真
見た目、噛み合せについて、計画通り治療が終了満足していただけました。
マウスピースは再スキャン含めて48枚使用。
光加速矯正装置を使用していたため2年弱かかる予定でしたが1年ほどで終了しました。
インビザラインを行いながらホワイトニングも行い、インビザライン、ホワイトニング終了後に右上の前歯をセラミックにしました。





治療前後の比較










治療情報
| 担当医師 | 新横浜院 Dr.丸山 |
|---|---|
| 治療期間 | 12ヶ月 |
| 費用 | 1,300,000円(税込) |
| 治療に伴うリスク | 歯の移動の際の違和感、後戻りの可能性があります。 |





