9.上下顎前歯部叢生を伴う
歯列不正
インビザラインでの矯正治療
Before

After

患者様情報
| 主訴 | 前歯部の重なりが気になる |
|---|
当院からのご提案・治療計画
歯列不正の改善および審美性・清掃性の向上を目的として、矯正治療による歯列の配列改善を提案しました。
治療プラン
-
Plan 1
- 診査診断・治療計画
- 歯科用CTや口腔内スキャナ「iTero」を使用することで、お口の状況を正しく知ることができます。
そのデータをもとに、患者様に治療期間や費用、そして治療計画をご説明いたしました。

-
Plan 2
- 矯正治療開始
- 精密検査や3Dシミュレーションなどの事前の診査診断を踏まえ、マウスピースを製作しインビザライン矯正をスタートしました。

-
Plan 3
- 治療終了
- 患者様の頑張りもあり歯並びがキレイになりました。今後は保定装置を着用し、後戻りを防止しながら、キレイな状態を維持するため、定期的にメンテナンスを行っていきます。

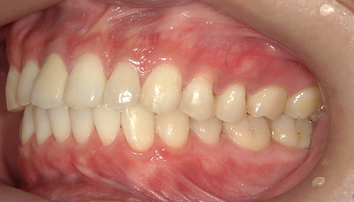
初診時の口腔内写真
術前の口腔内写真
上下顎前歯部を中心に歯列不正があり、特に下顎前歯部では歯の重なりが強く、清掃性の低下がみられました。
また、歯列の不整により審美的な違和感を患者様自身も自覚しており、笑った際の歯並びを気にされていました。





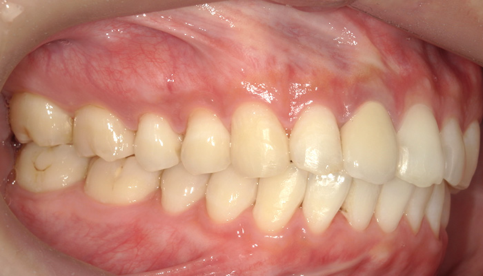
治療後の口腔内写真
術後の口腔内写真
歯列の叢生は改善され、歯列弓(歯並びを上から見たときのアーチ状のライン)は整い、審美性および清掃性が向上しました。
患者様本人にも見た目および口腔内の清掃のしやすさについて満足していただけました。





治療前後の比較










治療情報
| 担当医師 | 新横浜院 Dr.丸山 |
|---|---|
| 治療期間 | 1年 |
| 治療内容 | 矯正治療により歯列の配列を整え、叢生の改善を図りました。 治療期間中は定期的に経過観察を行い、歯の移動状況および口腔内環境を確認しました。 |
| 費用 | インビザラインフル:900,000円 ビベラリテーナー3枚:66,000円 合計 966,000円(税込) |
| 治療に伴うリスク | 矯正治療に伴う歯の移動時の疼痛や違和感 歯根吸収の可能性 治療後の後戻り リテーナー不使用による歯列不安定化 |





