7.前歯の張り出しと傾斜した
奥歯の改善
インビザラインでの矯正治療
Before

After

| 主訴 | 前歯の張り出しが気になる。 左下の奥歯が舌側に倒れ、たびたび擦れて痛くなる。 |
|---|
当院からの提案内容
前歯の突出感の改善と、傾斜していた奥歯の歯軸の修正を目指しインビザラインにて矯正治療を行う提案を致しました。
治療プラン
-
Plan 1
- クリーニング・清掃指導
- 歯のクリーニングを行い、日常のブラッシングのやり方などを指導いたしました。

-
Plan 2
- 矯正治療開始
- 精密検査や3Dシミュレーションなどの事前の診査診断を踏まえ、マウスピースを製作しインビザライン矯正をスタートしました。

-
Plan 3
- 治療終了
- 全ての治療終了後は、キレイになった歯並びが後戻りしないようにリテーナーを装着し、定期的にメインテナンスを行います。

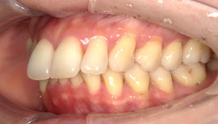
初診時の口腔内写真
下顎前歯が混み合って飛び出しており、噛み合わせの相手である上の前歯が押し出され、いわゆる出っ歯の状態でした。 また左下の第2大臼歯が舌側に傾斜し、噛み合わせの尖った面が舌と擦れやすい状態でした。





治療後の口腔内写真
前歯の突出感の改善と、奥歯の擦れに伴う不快症状が無くなった為、大変満足されておりました。





治療前後の比較










治療情報
| 担当医師 | 東戸塚院 Dr.永沼 |
|---|---|
| 治療期間 | 1年 |
| 費用 | 95万円(税込) |
治療に伴うリスク
歯の移動の際、違和感や軽度の痛みを生じる可能性があります。





