2.歯並びと
前歯の黒ずみが気になる
歯並びだけでなく、
虫歯治療や審美歯科を
"トータルプロデュース"
Before

After

患者様情報
| 初診日 | 2018年6月 |
|---|---|
| 年齢・性別 | 40代女性 |
| 主訴 | 歯並びが気になる。目立たずに治したい。 前歯の差し歯が黒ずみ、見た目が気になる。 また奥の銀歯を無くしたい。 |
当院からのご提案
虫歯治療・クリーニング
まず、矯正治療の前準備として、歯のクリーニング、虫歯と銀歯の治療を提案
インビザライン・ホワイトニング
虫歯治療終了後、目立たない矯正治療「インビザライン」を行い、それと同時にご自宅でできるホワイトニング「ホームホワイトニング」を行うことで、歯本来の自然な白さを取り戻せると提案
セラミック治療
インビザラインによる矯正治療終了後、キレイになった歯に合わせて前歯のセラミック治療を行うことを提案
最終的には、見た目の美しさも機能性も大幅に改善することが可能だとお伝えしました。
※矯正治療も含め、全ての治療が1年半で完了しました。現在は定期的にメインテナンスに通われています。
治療プラン
-
Plan 1
- 精密検査、虫歯治療
- 現状のお口を調べるためCT撮影を行いました。
検査により虫歯があることがわかりましたので、矯正治療に先立ち、まずは虫歯治療を優先して行いました。

-
Plan 2
- クリンチェック
- 3Dで取り込んだ歯型のデータや治療計画などに基づいて治療シミュレーション「クリンチェック」を行いました。

-
Plan 3
- インビザライン、
ホワイトニング - 事前の診査診断を踏まえ、マウスピースを製作しインビザライン矯正をスタートです。お家でできるホワイトニング治療も行いました。

- インビザライン、
-
Plan 4
- セラミック治療
- 前歯が黒ずんでいたため、精密根管治療およびセラミックによる被せ物を行いました。

-
Plan 5
- メインテナンス
- 全ての治療終了後は、キレイになった歯並びが後戻りしないようにリテーナーを装着し、定期的にメインテナンスを行います。

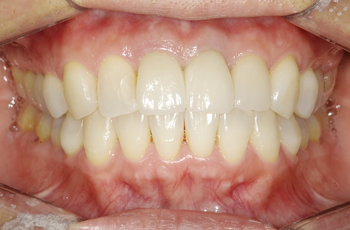
初診時の口腔内写真





治療後の口腔内写真





治療前後の比較










治療情報
| 担当医師 | 総院長 Dr.白井 |
|---|---|
| 治療期間 | 8ヶ月+5ヶ月(審美治療) |
| 費用 | 93.5万円(税込) ※別途補綴治療費 |





