5.全体的に歯並びが気になる
全体のインビザライン
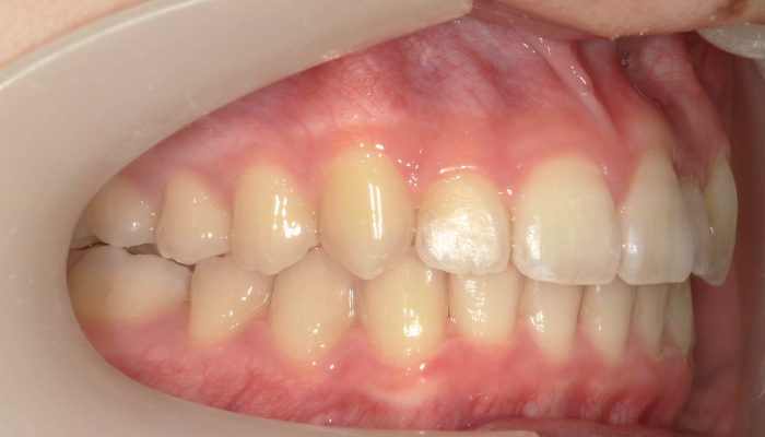
Before

After

患者様情報
| 初診日 | 2019年8月 | 
|---|---|
| 年齢・性別 | 20代女性 | 
| 主訴 | 全体的に歯並びが気になる。 特に左上前歯が内側にあり、無いように見えるところが気になる。  | 
        
当院からのご提案・治療計画
クリーニング、矯正希望 / 全体的に歯並びが気になる / 特に左上前歯が内側にあり、無いように見えるところが気になるとのことでしたのでクリーニングをしてから全体を矯正いたしました。
治療プラン
- 
            Plan 1
- クリーニング、ホワイトニング
 - お口のお掃除をおこなうクリーニングを行い、刺激の少ないポリリン酸ホワイトニングを行いました。
 
              
 - 
            Plan 2
- 精密診断、クリンチェック
 - 現状のお口を調べるためCT撮影を行いました。
また、3Dで取り込んだ歯型のデータや治療計画などに基づいて治療シミュレーション「クリンチェック」を行いました。 
              
 - 
            Plan 3
- インビザライン、
ホームホワイトニング - 事前の診査診断を踏まえ、マウスピースを製作しインビザライン矯正をスタートです。お家でできるホワイトニング治療も行いました。
 
              
 - インビザライン、
 - 
            Plan 4
- メインテナンス
 - 矯正治療終了あとは、キレイになった歯並びが後戻りしないようにメインテナンスを行います。
 
              
 
初診時の口腔内写真





治療後の口腔内写真





治療前後の比較










治療情報
| 担当医師 | 総院長 Dr.白井 | 
|---|---|
| 治療期間 | 16月 | 
| 費用 | 97.2万円(税込) | 
今回の治療コンセプトや
          インビザの有用性について
        今回は、全体的に歯並びが気になり、見た目を気にしているとのことでしたので、全体をインビザラインしました。
          患者様の満足のいく治療を行えました。
			




 
 
 