患者様ひとり一人に
最適な治療プランと
痛みに配慮した丁寧な治療を
ご提供します
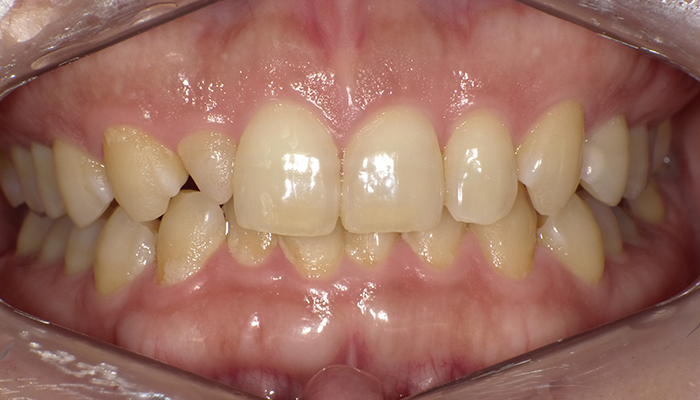
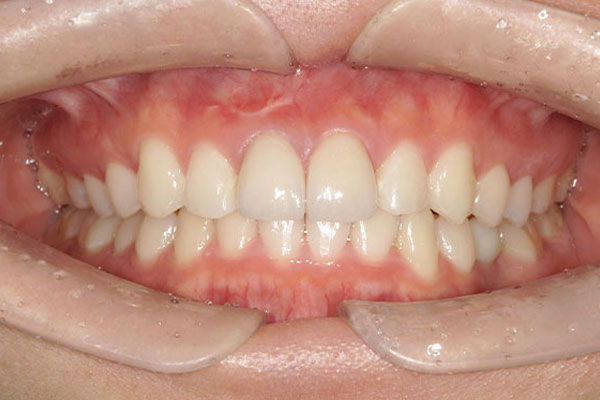
当日その場で、術前・術後のビフォーアフターを見られる設備を導入しています。
ワイヤー矯正との違いや期間、費用についても無料で相談を行っています。
ご希望の日程があれば、まずはお気軽にお問い合わせください。(要予約)
お電話もしくはメール相談の際、
ご希望の医院をお伝えください。
(上大岡・横浜・新横浜・
東戸塚・町田・横浜みなとみらいの
計6院ございます)
インビザライン専用フリーダイヤル
0120-4618-15(シロイハ イコ-)
〒220-0011
神奈川県横浜市西区高島1-2-5
横濱ゲートタワー1F
〒233-0002
神奈川県横浜市港南区上大岡西
1丁目14-6 Daiwa 上大岡ビル3F
〒220-0011
神奈川県横浜市西区高島2丁目18-1
そごう横浜9F/8F
〒222-0033
神奈川県横浜市港北区新横浜3-4
新横浜プリンスペペ3F
〒194-0013
東京都町田市原町田6-2-6
町田モディ6F
〒244-8530
神奈川県横浜市戸塚区信濃町537-1
西武東戸塚S.C. 西武館2F
受付時間
平日 9:30~19:30
土曜 10:00~17:00
日曜 10:00~18:00
フリーダイヤル受付時間
平日 9:30~19:30
土曜 10:00~17:00
日曜 10:00~18:00