2.抜歯しないで矯正したい
インビザラインで歯並びを良くする
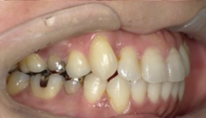
Before

After

患者様情報
| 初診日 | 2019年8月 |
|---|---|
| 性別 | 女性 |
| 主訴 | 歯並びが気になる。 抜歯しないで矯正できるか聞きたい |
当院からのご提案・治療計画
患者様は抜歯しないで歯並び矯正が出来るかという相談だったので、当院では、精密診断して抜歯しないでできる歯の状態かどうかを調べてインビザラインをおすすめしました。
治療プラン
-
Plan 1
- クリーニング
- お口のお掃除をおこなうクリーニングを行いました。

-
Plan 2
- 精密診断、クリンチェック
- 現状のお口を調べるためCT撮影を行いました。
また、3Dで取り込んだ歯型のデータや治療計画などに基づいて治療シミュレーション「クリンチェック」を行いました。

-
Plan 3
- インビザライン
- 事前の診査診断を踏まえ、マウスピースを製作しインビザライン矯正をスタートです。

-
Plan 4
- メインテナンス
- 矯正治療終了あとは、キレイになった歯並びが後戻りしないようにメインテナンスを行います。

初診時の口腔内写真





治療後の口腔内写真





治療前後の比較










治療情報
| 担当医師 | 横浜みなとみらい院 Dr.首藤 |
|---|---|
| 治療期間 | 8ヶ月 |
| 費用 | 91.3万円(税込) |
今回の治療コンセプトや
インビザの有用性について
当院は正しい診断の元、治療にあたるため、出来るだけ患者様の要望にお答えすることが可能です。
「そもそも抜歯は必要なのか」そういった判断も的確な診査診断があって初めて可能となります。お口のことで困りごとがございましたら、まずは当院へご相談ください。





