2.上下の前歯のデコボコの改善
矯正治療によりむし歯、
歯周病を予防
Before

After

患者様情報
| 初診日 | 2019年10月 |
|---|---|
| 年齢・性別 | 20代女性 |
| 主訴 | 上下の前歯のデコボコが気になる。 むし歯、歯周病を予防したい。 |
当院からのご提案・治療計画
歯並びの治療をしつつ、治療中のむし歯や歯周病のリスクを上げないようにするには、マウスピース矯正が最適と考え、相談のうえでの治療を提案、計画しました。
見た目だけでなく、セルフケアのしやすさを増すことが歯並びを整える意義の1つと患者様に説明しました。
治療プラン
-
Plan 1
- クリーニング・清掃指導
- まずは部分矯正の前準備として、お口のお掃除をおこなうクリーニングと日常のブラッシングのやり方などを指導いたしました。

-
Plan 2
- 精密診断、クリンチェック
- 現状のお口を調べるためCT撮影を行いました。
また、3Dで取り込んだ歯型のデータや治療計画などに基づいて治療シミュレーション「クリンチェック」を行いました。

-
Plan 3
- インビザライン
- 精密検査や3Dシミュレーションなどの事前の診査診断を踏まえ、マウスピースを製作して、インビザライン矯正を行います。

-
Plan 4
- 治療終了
- 全ての治療終了後は、キレイになった歯並びが後戻りしないようにリテーナーを装着し、定期的にメインテナンスを行います。

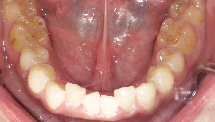
初診時の口腔内写真





治療後の口腔内写真





治療前後の比較










治療情報
| 担当医師 | 新横浜院 Dr.花澤 |
|---|---|
| 治療期間 | 約5ヶ月 |
| 矯正治療費 | 50万円(税込) |
今回の治療コンセプトや
インビザの有用性について
ずっと前歯の見た目のデコボコがコンプレックスだったという患者様でした。前歯を整えることで、見た目はもちろん、むし歯、歯周病の予防にもなることを説明しました。
また、治療中も口腔内を清潔に保ちたいという患者様の希望もあり、最適であるマウスピース矯正で行いました。
結果、患者様ご自身もブラッシングのしやすさ、歯茎からの出血もなくなったとセルフケアのモチベーションも上がったと喜んでおられました。





