3.上の前歯が一本飛び
出ているのを治したい
マウスピース矯正で
短期間で主訴を改善
Before

After

患者様情報
| 初診日 | 2019年7月 |
|---|---|
| 年齢・性別 | 20代男性 |
| 主訴 | 上の前歯が一本飛び出ているのを治したい。 |
当院からのご提案・治療計画
この患者様の場合、お仕事の関係で、治療中の装置が目立たないこと、来院回数と治療期間に制限があることなどから、ご本人の主訴にフォーカスを絞り、相談、マウスピース矯正での計画を立てました。
当院では、患者様の来院回数と治療期間に最大限考慮し、治療を行うことが出来ます。
治療プラン
-
Plan 1
- クリーニング・清掃指導
- まずは矯正治療の前準備として、お口のお掃除をおこなうクリーニングと日常のブラッシングのやり方などを指導いたしました。

-
Plan 2
- 精密診断、クリンチェック
- 現状のお口を調べるためCT撮影を行いました。
また、3Dで取り込んだ歯型のデータや治療計画などに基づいて治療シミュレーション「クリンチェック」を行いました。
今回は患者様の主訴にフォーカスを絞り、診断を行いました。

-
Plan 3
- インビザライン
- 精密検査や3Dシミュレーションなどの事前の診査診断を踏まえ、マウスピースを製作して、インビザライン矯正を行います。

-
Plan 4
- 治療終了
- 全ての治療終了後は、キレイになった歯並びが後戻りしないようにリテーナーを装着し、定期的にメインテナンスを行います。

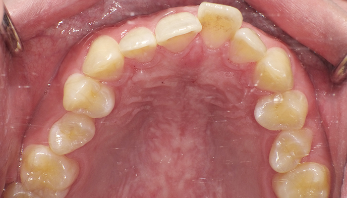
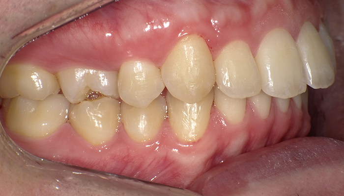
初診時の口腔内写真





治療後の口腔内写真





治療前後の比較










治療情報
| 担当医師 | 新横浜院 Dr.花澤 |
|---|---|
| 治療期間 | 約8ヶ月 |
| 矯正治療費 | 85万円(税込) |
今回の治療コンセプトや
インビザの有用性について
患者様は、ずっと前歯の見た目がコンプレックスでした。
治療に関して、仕事の関係で制限があった中、主訴を改善する最善の方法がマウスピース矯正であると説明しました。
期間にも制限がありましたが、期間内に歯列も整い、大変満足しておられました。





