8.出っ歯が気になる、前歯でうまく噛めない
インビザラインでの矯正治療
Before
After
患者様情報
| 主訴 | 上の前歯の出っ張りが気になる、前歯でうまく噛めない |
|---|
当院からのご提案・治療計画
スペース不足については、上顎の遠心移動とIPRを行い、非抜歯にて矯正治療を開始しました。
治療に伴うリスク
リテーナーを使用しないと後戻りのリスクがあります。
治療プラン
-
Plan 1
- 診査診断・治療計画
- 歯科用CTや口腔内スキャナ「iTero」を使用することで、お口の状況を正しく知ることができます。
そのデータをもとに、患者様に治療期間や費用、そして治療計画をご説明いたしました。

-
Plan 2
- 矯正治療開始
- 精密検査や3Dシミュレーションなどの事前の診査診断を踏まえ、マウスピースを製作しインビザライン矯正をスタートしました。

-
Plan 3
- 治療終了
- 患者様の頑張りもあり歯並びがキレイになりました。今後は保定装置を着用し、後戻りを防止しながら、キレイな状態を維持するため、定期的にメンテナンスを行っていきます。

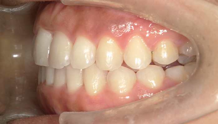
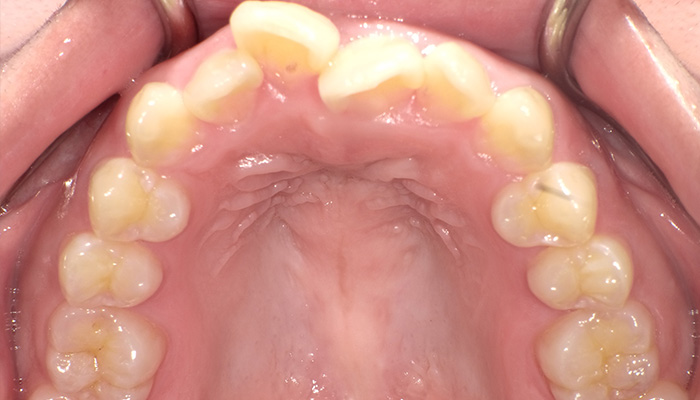
治療前の口腔内写真





術前の口腔内写真
前歯の見た目の非対称感と、出っ歯、ものが噛みきれないなど、複数のお悩みを解決できるよう、最終的なゴールについて共有してから治療がスタートします。
治療後の口腔内写真





術後の口腔内写真
左右非対称であった前歯の見た目も改善し、前歯でものが噛めるようになり、満足のいく治療結果が得られました。
歯並びについてお悩みがあれば、いつでもご相談ください。
治療前後の比較










治療情報
| 担当医師 | 上大岡院 Dr.池 |
|---|---|
| 治療期間 | 1年10ヶ月 |
| 費用 | 105万円(税込) |
今回の治療コンセプトや
インビザの有用性について
矯正治療に限ったことではないですが、特にインビザラインは事前の診査診断・治療計画がとても重要で、どの医療機関で受けても同じ結果になるわけではないのが実情です。
エス歯科グループでは、治療途中の段階では計画通りに移動が達成できているか、豊富な治療実績をもとに綿密にチェックしながら進めていきます。
歯並びについてお悩みの方は、お気軽に是非一度ご相談ください。





