9.凸凹と反対咬合の改善
インビザラインでの矯正治療
Before
After
患者様情報
| 主訴 | 前歯の噛み合わせと見た目が気になる |
|---|
当院からのご提案・治療計画
非抜歯にて、歯列の拡大とIPRを行い、叢生(歯の凸凹)と反対咬合の改善を計画しました。
治療に伴うリスク
特に移動量の大きい歯については、一時的な違和感、軽度の痛みを生じる可能性があります。
治療プラン
-
Plan 1
- 診査診断・治療計画
- 歯科用CTや口腔内スキャナ「iTero」を使用することで、お口の状況を正しく知ることができます。
そのデータをもとに、患者様に治療期間や費用、そして治療計画をご説明いたしました。

-
Plan 2
- 矯正治療開始
- 精密検査や3Dシミュレーションなどの事前の診査診断を踏まえ、マウスピースを製作しインビザライン矯正をスタートしました。

-
Plan 3
- 治療終了
- 患者様の頑張りもあり歯並びがキレイになりました。今後は保定装置を着用し、後戻りを防止しながら、キレイな状態を維持するため、定期的にメンテナンスを行っていきます。

治療前の口腔内写真





術前の口腔内写真
上下共に叢生(歯の凸凹)を認めます。丁寧なブラッシングを行なっていても、すぐに着色してしまうのがお悩みとのことでした。
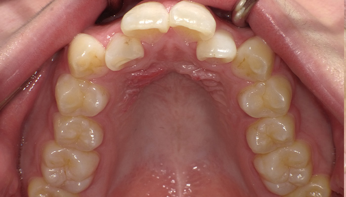
治療後の口腔内写真





術後の口腔内写真
主訴であった見た目については、前歯のバランスが整って左右対称の綺麗なアーチになりました。
また、歯の凸凹が改善され、ブラッシングがやりやすくなりました。前歯でものが噛みやすくなった結果、奥歯への力の負担を減らす事ができました。
歯並びについてお悩みがあれば、いつでもご相談ください。
治療前後の比較










治療情報
| 担当医師 | 上大岡院 Dr.池 |
|---|---|
| 治療期間 | 11ヶ月 |
| 費用 | 99万円(税込) |
今回の治療コンセプトや
インビザの有用性について
矯正治療に限ったことではないですが、特にインビザラインは事前の診査診断・治療計画がとても重要で、どの医療機関で受けても同じ結果になるわけではないのが実情です。
エス歯科グループでは、治療途中の段階では計画通りに移動が達成できているか、豊富な治療実績をもとに綿密にチェックしながら進めていきます。
歯並びについてお悩みの方は、お気軽に是非一度ご相談ください。





