6.前歯のガタガタを治して、
歯周病と虫歯のリスクを
少なくしたい
前歯の重なりをマウスピース矯正で
きれいに並べたケース
Before

After

患者様情報
| 性別 | 男性 |
|---|---|
| 年齢 | 30代 |
| 主訴 | 前歯のガタガタを治して、歯周病と虫歯の リスクを少なくしたい |
当院からのご提案
歯周病の状態が良くなかったため、まず歯周基本治療で歯肉の状態をしっかり改善させることが重要であるとご説明させていただきました。
その後、マウスピース矯正で歯列をきれいに並べて、歯磨きでしっかり歯周病対策をできるように提案致しました。
また、ご希望されていたホワイトニングも矯正治療と同時に行い、さらにきれいな口元になるようにして仕上げることをおすすめしました。
治療プラン
-
Plan 1
- 診査・診断
- CTなどの精密機器を用いて正確に診断いたしました。

-
Plan 2
- クリンチェック
- 3Dで取り込んだ歯型のデータや治療計画などに基づいて治療シミュレーション「クリンチェック」を行いました。

-
Plan 3
- インビザライン
- 精密検査や3Dシミュレーションなどの事前の診査診断を踏まえ、マウスピースを製作しインビザライン矯正をスタートしました。

-
Plan 4
- メインテナンス
- 後戻り防止のため、リテーナーを装着します。
また定期的にメインテナンスに行い、キレイになった歯をより長く継続させます。

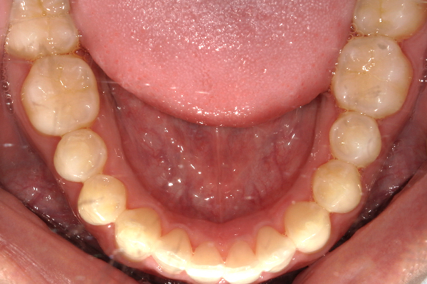
初診時の口腔内写真





治療前のコメント
前歯が重なっている所は、歯石が溜まっていたり、歯肉が腫れたりしている状況でした。
また、前歯の噛み合わせが弱いため、奥歯の負担が強く歯のすり減りが多く見られました。
治療後の口腔内写真





治療後のコメント
前歯が綺麗に並び、歯肉も綺麗な色に戻りました。
また、噛み合わせも前歯と奥歯のバランスがしっかり取れた状態を獲得できました。
治療前後の比較










治療情報
| 担当医師 | 東戸塚院 Dr.北崎 |
|---|---|
| 治療期間 | 15ヶ月 |
| 費用 | 85万円(税込) |
| 治療に伴うリスク | 歯の移動の際、違和感や軽度の痛みを生じる可能性があります。 |
今回の治療コンセプトや
インビザの有用性について
前歯の歯並びを治すことで、歯周病や虫歯のリスクコントロールができると同時に食いしばりによる奥歯のすり減りも防止できます。
インビザラインで噛み合わせを改善することで、食べ物の噛みやすさが大幅に変わりますので、食事を美味しく頂くことが出来ます。





