Dr.永沼 症例集

インビザライン症例

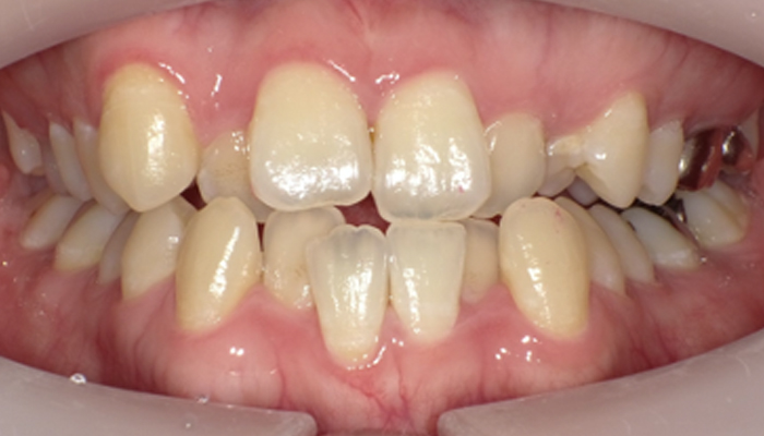
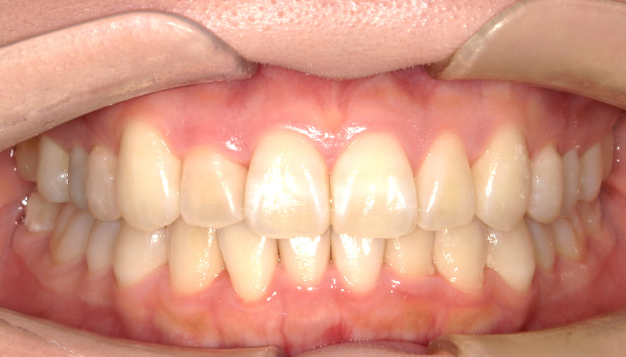
1.上下の歯の隙間が気になる

Before

After

インビザライン症例 1

2.前歯のがたつきが気になる

Before

After

インビザライン症例 2

3.矯正後の後戻りで前歯に隙間が出来てきた

Before

After

インビザライン症例 3

4.全体的に歯並びを整えたい

Before

After

インビザライン症例 4

5.噛み合わない前歯の見た目・機能面の改善

Before

治療前

After

治療後
インビザライン症例 5

6.右上の八重歯と全顎的な噛み合わせの改善

Before

治療前

After

治療後
インビザライン症例 6

7.前歯の張り出しと傾斜した奥歯の改善

Before

治療前

After

治療後
インビザライン症例 7

患者様ひとり一人に
最適な治療プラン
痛みに配慮した丁寧な治療
ご提供します

まずは無料相談に
お越しください

当日その場で、術前・術後のビフォーアフターを見られる設備を導入しています。
ワイヤー矯正との違いや期間、費用についても無料で相談を行っています。
ご希望の日程があれば、まずはお気軽にお問い合わせください。(要予約)
お電話もしくはメール相談の際、
ご希望の医院をお伝えください。

(上大岡・横浜・新横浜・
東戸塚・町田・横浜みなとみらいの
計6院ございます)

インビザライン専用フリーダイヤル
0120-4618-15(シロイハ イコ-)

  • お電話でのご予約・ご相談はこちら 0120-4618-15
  • WEBで無料相談予約はこちら 24時間受付中

S Group Branch Information エス歯科グループ院